patient-focus
Cosmetic Dentistry

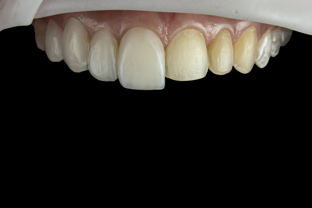
Porcelain Veneers

Small imperfections in your teeth can have a big impact on how you feel about your smile. Porcelain veneers offer a way to address multiple concerns at once—chips, gaps, stains, or uneven teeth—with results that look and feel completely natural.

Porcelain Veneers in Springfield, MO

A smile transformation that’s uniquely yours.

Veneers are wafer-thin, custom-made shells bonded to the front surface of your teeth. Once placed, they instantly improve the appearance of your smile while maintaining a natural look. Our doctors have years of experience crafting veneers that complement your facial features and reflect your personal style. We’ll take the time to understand your goals and help you decide if veneers are the right choice for you.

Request appointment

What to expect with porcelain veneers

The process of getting veneers is straightforward, and we’ll guide you through every step. Here’s what you can expect when you choose Ascend Dental Design for your smile makeover.

Consultation & Planning

We’ll discuss your goals, examine your teeth, and determine if veneers are the best option for achieving the smile you envision.

Tooth Preparation

A small amount of enamel is gently removed to ensure your veneers fit naturally and securely. We use precise techniques to preserve as much tooth structure as possible.

Custom Fabrication

Digital impressions are taken and sent to our lab, where skilled technicians craft veneers matched to your desired shade and shape.

Placement & Bonding

Your custom veneers are carefully bonded to your teeth. We check the fit, color, and comfort to ensure everything looks and feels right.

Follow-Up Care

We’ll schedule a follow-up visit to make sure you’re completely satisfied and provide guidance on caring for your new smile.

Common Questions

We’re always ready to answer your questions.

Ascend is led by experienced doctors and an exceptional team who care deeply about both clinical excellence and human connection. Every role is centered around making each visit feel personal, smooth, and genuinely welcoming.

Schedule Your Consultation
What can veneers correct?

Veneers can address a variety of cosmetic concerns, including chipped or cracked teeth, gaps between teeth, severe discoloration, worn-down enamel, and teeth that are slightly crooked or uneven.

What’s the difference between porcelain and composite veneers?

Porcelain veneers are crafted in a lab and offer superior durability and a more natural translucency—typically lasting 10-15 years. Composite veneers are applied directly in one visit and generally last around 5-7 years. We’ll help you decide which option best fits your needs and budget.

How long do porcelain veneers last?

With proper care and regular dental checkups, porcelain veneers typically last 10-15 years before needing replacement. Avoiding habits like teeth grinding or biting hard objects can help extend their lifespan.

Will veneers look natural?

Yes. We carefully select the shade, shape, and translucency of your veneers to match your natural teeth and complement your features. The goal is always a beautiful smile that looks authentically you.

How much do veneers cost?

The cost depends on the number of veneers and your specific treatment needs. During your consultation, we’ll provide a clear estimate and discuss financing options, including CareCredit and our in-house plan.