Dental-Fillings
General & Preventive Dentistry

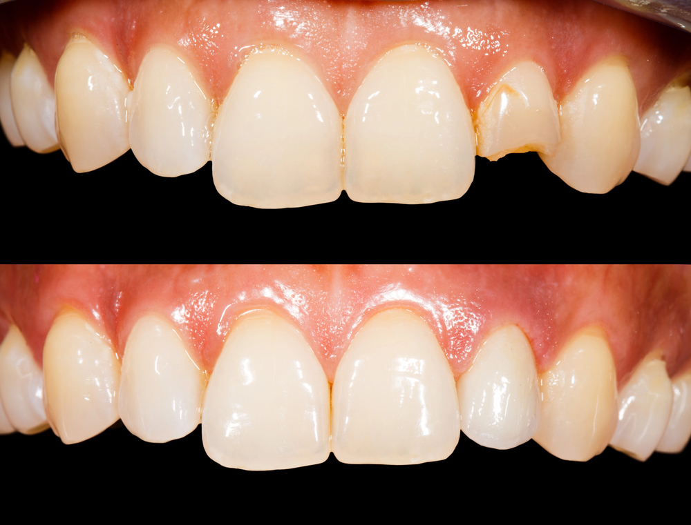
Dental Fillings

Cavities happen—even to people who take great care of their teeth. The good news is that when caught early, a cavity can be treated quickly and comfortably with a tooth-colored filling that blends seamlessly with your natural smile.

Dental Fillings in Springfield, MO

Natural-looking restorations that protect your teeth.

At Ascend Dental Design, we use composite fillings made from high-quality materials that match the color of your surrounding teeth. Unlike traditional silver fillings, these restorations contain no metal and bond directly to your tooth structure—allowing us to preserve more of your natural tooth. The result is a filling that’s virtually invisible and built to last.

Request appointment

What to expect with dental fillings

Getting a filling is one of the most common dental procedures, and we’ve made the process as comfortable as possible. Here’s what to expect.

Examination

We’ll examine the affected tooth and take X-rays if needed to determine the extent of the decay.

Comfortable Treatment

We use local anesthesia to ensure you’re comfortable throughout the procedure. Most patients feel little to no discomfort.

Decay Removal

The decayed portion of your tooth is gently removed, leaving healthy tooth structure intact.

Filling Placement

The composite material is applied in layers, shaped to match your tooth’s natural contours, and hardened with a special light.

Polish & Fit Check

We polish the filling and check your bite to ensure everything feels natural and comfortable.

Common Questions

We’re always ready to answer your questions.

Ascend is led by experienced doctors and an exceptional team who care deeply about both clinical excellence and human connection. Every role is centered around making each visit feel personal, smooth, and genuinely welcoming.

Schedule Your Consultation
What are the benefits of tooth-colored fillings?

Tooth-colored fillings blend naturally with your smile, require less tooth removal than metal fillings, bond directly to your tooth for added support, and contain no metal. They’re also versatile enough to repair chips and cracks in addition to cavities.

How long do dental fillings last?

With good oral hygiene and regular checkups, composite fillings typically last 5-10 years. We’ll monitor your fillings during routine visits and let you know if any need attention.

Does getting a filling hurt?

Most patients experience little to no discomfort. We use local anesthesia to numb the area before treatment, and our team takes care to ensure you’re comfortable throughout the procedure.

Can old metal fillings be replaced?

Yes. If your silver fillings are worn, cracked, or you simply prefer a more natural look, we can replace them with tooth-colored composite restorations.

How do I know if I have a cavity?

Cavities don’t always cause symptoms, which is why regular checkups are so important. When symptoms do occur, they may include tooth sensitivity, pain when eating or drinking something sweet, visible holes or pits, or staining on the tooth surface.