All on X Implant
Restorative Dentistry

All-on-X Dental Implants | Teeth in a Day

Living with failing, damaged, or missing teeth can affect every part of your daily life. All-on-X dental implants offer a transformative solution, replacing a full arch of teeth with a permanent, natural-looking set — often in a single visit. It is one of the most advanced procedures in modern dentistry, and at Ascend Dental Design, it is one of our signature strengths.

All-on-X in Springfield, MO

Restore Your Full Smile in a Single Day.

At Ascend Dental Design, we use the CHROME GuidedSMILE protocol by ROE Dental Laboratory, the most advanced guided full-arch implant system available today. This system allows our doctors to plan every detail of your surgery digitally before you ever sit in the chair, resulting in precise implant placement, less time in surgery, and a faster path to your final restoration. With over 25,000 arches completed worldwide using this protocol, it represents the gold standard in full-arch implant dentistry. So whether you’ve been told it isn’t possible or you’ve been putting it off for years, we're here to show you that a new smile is closer than you think.

Request appointment

What to Expect with All-on-X

The All-on-X process is carefully planned from start to finish using digital imaging and guided surgical technology. No guesswork. No surprises. Just a clear, proven path to your new smile.

Consultation and Digital Planning

We perform a comprehensive exam, which includes 3D imaging and digital scans of your mouth. These records are used to plan your implant positions, bone reduction, and prosthetic design before the day of surgery.

Guided Implant Surgery

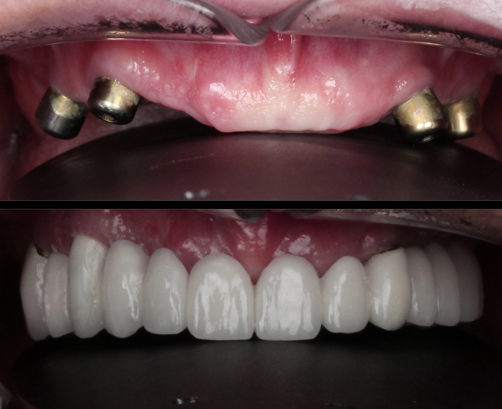
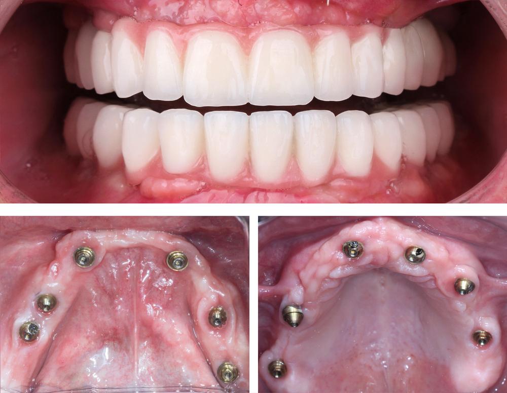
On the day of your procedure, four to six implants are placed into your jawbone using the CHROME GuidedSMILE stackable guide system. This guided approach ensures precise placement with minimal surgical time. In fact, we often complete the procedure in under two hours.

Same-Day Temporary Teeth

After your implants are placed, a custom provisional set of teeth is attached the same day. You leave the office with a full, functional smile while your implants heal and integrate with the bone.

Healing and Integration

Over the next several months, your implants fuse with your jawbone through a process called osseointegration. During this time, your temporary teeth allow you to eat, speak, and smile with confidence.

Final Restoration

Once healing is complete, your permanent prosthesis is fabricated and placed. The final result is a beautiful, durable set of teeth designed to look and feel completely natural.

Frequently Asked Questions

Everything You Want to Know About All-on-X

We know this is a big decision, and we want you to feel completely confident before taking the next step. Here are the most common questions we hear from patients considering All-on-X dental implants in Springfield, MO.

Schedule Your Consultation
What is All-on-X?

All-on-X — sometimes called All-on-4 or All-on-6 — is a full-arch tooth replacement technique that uses four to six dental implants to support an entire set of upper or lower teeth. Unlike traditional dentures, All-on-X teeth are permanently fixed in place, so they look, feel, and function like natural teeth.

What is the CHROME GuidedSMILE protocol?

CHROME GuidedSMILE is a patented guided surgery system developed by ROE Dental Laboratory. It uses a stackable metal guide to coordinate implant placement, bone preparation, and prosthetic delivery with exceptional precision. This system reduces surgical time, improves outcomes, and streamlines the path to your final restoration.

Can I really get new teeth in one day?

Yes. On the day of surgery, your implants are placed and a custom set of provisional teeth is attached before you leave the office. These temporary teeth are fully functional while your implants heal over the following months. Your permanent restoration is placed once healing is complete.

Who is a candidate for All-on-X?

All-on-X is ideal for patients who are missing most or all of their teeth, have teeth that are failing, or are currently wearing dentures and want a permanent solution. Even patients with some bone loss may be candidates thanks to the angled implant placement technique. We will evaluate your specific situation during your consultation.

How does All-on-X compare to traditional dentures?

Traditional dentures rest on the gums and can slip, cause discomfort, and limit what you can eat. All-on-X implant-supported teeth are anchored to your jawbone, so they are completely stable. There is no adhesive, no slipping, and no removing them at night. They also help preserve your jawbone, which traditional dentures do not.

How much does All-on-X cost?

The cost varies depending on your specific needs and the number of arches being treated. During your consultation, we will provide a detailed estimate and discuss financing options, including CareCredit, LendingClub, and our AscendCare membership program.